Entri yang Diunggulkan
- Get link
- X
- Other Apps
Admissions - CU Anschutz CU Denver. Young women diagnosed with breast cancer BC have poor prognosis due to increased rates of metastasis.
Marshalling the considerable prowess of nearly 300 scientists and physicians with acclaimed expertise in breast gastrointestinal head and neck leukemia lung melanoma and prostate cancers our center brings together most of the states NCI-funded researchers at three academic institutions and three healthcare delivery organizations.

Anschutz breast center. ACCORDS - CU Anschutz. Advanced Clinical Training and Service Program. Accreditation 2011 - CU Anschutz CU Denver.
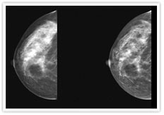
Patient Care Community Breast Cancer. 3D mammography is a revolutionary new screening and diagnostic tool designed for early breast cancer detection that can be done in conjunction with a traditional 2D digital mammogram. 13001 East 17th Place Aurora CO 80045.
Reviews 720 848-1030 Website. Breast Tomosynthesis 3D Mammography UC Health breast imaging facilities use an advanced breast imaging tool called 3D mammography. The Breast Imaging section is located in the University of Colorado Breast Center a multidisciplinary breast center at the Anschutz Outpatient Pavilion AOP incorporating breast imaging breast surgery breast oncology internal medicine genetic counseling and specialized nursing.
UCHealth Diane OConnor Thompson Breast Center-Anschutz Medical Campus 1635 Aurora Ct Aurora CO 80045. The Anschutz Medical Campus is a 256-acre 10 km 2 campus for the University UCHealth University of Colorado Hospital and Childrens Hospital Colorado. 9University of Colorado Cancer Center Aurora CO 80045 USA.
The Anschutz Foundation and the University of Colorado. Though breast cancer patients are now living longer than ever before treatments for the disease can have wide-ranging effects on their long-term quality of life. I also perform axillary surgery including sentinel lymph node dissection axillary dissection and targeted axillary dissection.
The Cancer Pavilion at Anschutz is located directly east of the Anschutz Outpatient Pavilion or AOP. This web page will be updated as new information becomes available. Physical social and sexual wellbeing all can be impacted by radiation chemotherapy surgery antiendocrine therapy and other challenges that go along with a breast cancer battle.
It makes Anadolu one of the top breast cancer centers. The treatment cost depends on procedures required and condition complexity. Menu Reservations Make Reservations.
Adult Congenital Heart Disease - CU Anschutz. Adolescent Medicine - CU Anschutz. Addiction Research Treatment Services ARTS - CU Anschutz.
Anadolu is 1 out of 30 hospitals in the world accredited by the Organization of European Cancer Institutes. The Anschutz Cancer Pavilion part of UCHealth University of Colorado Hospital in metro Denver is home to the CU Cancer Center as well as to other specialty clinics. The CU Anschutz Medical Campus is located at.
8Young Womens BC Translational Program CU Anschutz Medical Campus Aurora CO 80045 USA. Uchealth Anschutz Outpatient Pavilion Anschutz Medical Campus a Medical Group Practice located in Aurora CO. Accreditation Statement of - CU Anschutz CU Denver.
At the Diane OConnor Thompson Breast Center - Anschutz our caring team of breast cancer specialists including doctors support professionals and Magnet-designated nursing staff work together to develop the best care plan for you and then stay with you. Diane OConnor Thompson Breast Center at the University of Colorado Cancer Center. Parking and Maps.
View the campus map. CU Anschutz is actively monitoring the outbreak of the 2019 Novel Coronavirus COVID-19. The Anschutz Health and Wellness Center was founded by two of Colorados most visionary organizations.
Take It One Treatment at a Time Tonya Quinn talks about the perfect timing of her stage 3 breast cancer diagnosis and praises the care she received at CU Cancer Center and UCHealth. Order Online Tickets Tickets See Availability Directions locationtagLinevaluetext Sponsored Topics. Breast Cancer Patients Advice.
Anschutz Medical Campus Anschutz Outpatient Pavilion 1635 Aurora Ct Third Floor Aurora CO 80045. The CU Cancer Center represents the collaboration of approximately 300 members at multiple institutions including CU Anschutz Medical Campus School of Medicine Pharmacy Public Health and Dental CU Boulder and Colorado State University Flint Animal Cancer Center. My clinical practice is dedicated to the multidisciplinary care of breast disease including benign diseases DCIS and invasive cancer.
The medical center offers breast cancer treatments from 800 to 31000.
Department Of Defense Grant Goes To University Of Colorado Cancer Center Cu Connections
Uchealth Diane O Connor Thompson Breast Center Anschutz Medical Campus
Uchealth Diane O Connor Thompson Breast Center Anschutz Medical Campus
Uchealth Diane O Connor Thompson Breast Center Anschutz Medical Campus
For Breast Cancer Survivors Group Exercise Beats Personal Training For Quality Of Life Eurekalert Science News
Volunteers Are Needed For A Research University Of Colorado Cancer Center Facebook
State Lawmakers Visit Anschutz Campus To Learn Current And Future Directions For Cancer Research And Care In Colorado Colorado Cancer Blogs
Uchealth Radiation Oncology Anschutz Medical Campus
Anschutz Medical Campus Children S Hospital Colorado






Comments
Post a Comment